Blog - Page 5
Le scanner Cone Beam est une technique évoluée d’imagerie radiographique dont l’utilisation est en plein développement.
Un bridge est une prothèse fixe permettant de remplacer une ou plusieurs dents en s’appuyant sur les dents adjacentes.
Les premiers temps avec votre prothèse amovible : adoptez les bons réflexes pour faciliter la période d'adaptation.
Le rôle de l’assistant(e) dentaire peut prendre différentes formes, selon la structure du cabinet et le contenu du poste tel que prévu au départ
Une succion du pouce prolongée peut avoir des conséquences sur le développement de la mâchoire, des dents, et aussi sur l’élocution de l’enfant.
Invisalign® est un traitement orthodontique basé sur le port successif d’une série de gouttières transparentes.
Testez vos connaissances, et trouvez les réponses aux questions sur votre santé bucco-dentaire.
Le PRF (Protéine Riche en Fibrine) est un concentré de plaquettes sanguines et cellules immunitaires, accélérateur du temps de cicatrisation.
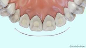
Grâce au développement de techniques discrètes et confortables, de plus en plus d’adultes ont recours à l’orthodontie.
Douleurs au chaud, au froid, ou au brossage : comment soulager l’hypersensibilité dentaire ?
Contrairement aux croyances populaires, la mauvaise haleine, appelée aussi halitose, ne vient pas de l’estomac mais de la bouche dans 85% des cas.
Découvrez notre collection de fiches pédagogiques











